IAEA Nov 06
63
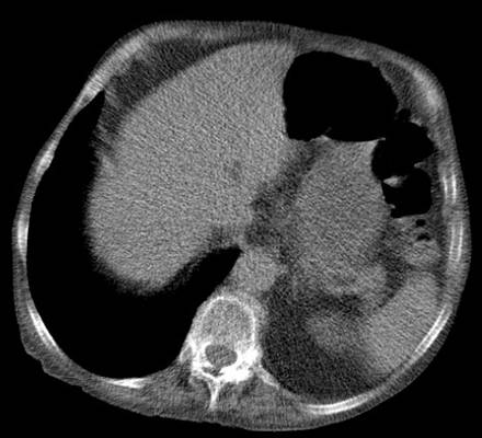
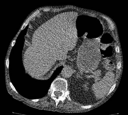
Thinner slice: higher noise 
•Object ~ 5 mm
5mm
1mm
Courtesy: Matthew Benbow, RBH